¿Te has preguntado alguna vez sobre la verdadera complejidad detrás del cáncer de hueso, una condición que, aunque no es tan común como otros tipos, posee un impacto significativo en la vida de quienes lo padecen? Entender sus matices y, crucialmente, reconocer las señales tempranas, es una pieza de información de valor incalculable que puede marcar una diferencia profunda.
En Aknal.com, nuestro compromiso es ofrecerte contenido claro y preciso sobre temas de salud, desmitificando condiciones complejas para que tú y tu familia estén siempre bien informados. No se trata solo de conocer la enfermedad, sino de empoderarte con el saber para tomar decisiones proactivas y conscientes sobre tu bienestar.
Prepárate para adentrarte en una guía exhaustiva que aborda desde las definiciones básicas hasta los métodos de diagnóstico y tratamiento, sin olvidar la importancia vital de la observación personal. Acompáñanos en este recorrido esencial, donde la comprensión profunda es la primera línea de defensa.
Entendiendo el Cáncer de Hueso
El cáncer de hueso, o sarcoma óseo, es una enfermedad menos frecuente que otras formas de cáncer, pero que exige nuestra atención por su naturaleza y las implicaciones que conlleva. Comprender sus fundamentos es el primer paso para cualquier persona que busque informarse a fondo sobre esta condición, ya sea por curiosidad personal o por una preocupación directa.

¿Qué es el cáncer de hueso?
El cáncer de hueso se origina cuando las células óseas comienzan a crecer de manera incontrolada, formando un tumor maligno que destruye el tejido sano. A diferencia de los tumores benignos, que no se diseminan, los tumores cancerosos tienen la capacidad de invadir tejidos cercanos y propagarse a otras partes del cuerpo.
Es fundamental entender que existen distintos tipos de cáncer de hueso, cada uno con sus propias características y patrones de desarrollo. La diversidad de estas afecciones hace que el diagnóstico y el tratamiento sean un proceso muy específico y personalizado.
¿Quiénes pueden ser afectados?
Aunque el cáncer de hueso puede afectar a personas de cualquier edad, existen ciertos grupos demográficos donde la incidencia es mayor. Por ejemplo, el osteosarcoma, uno de los tipos más comunes, tiende a presentarse con mayor frecuencia en niños, adolescentes y adultos jóvenes durante sus años de crecimiento rápido.
Por otro lado, otros tipos como el condrosarcoma son más habituales en adultos mayores, lo que subraya la importancia de considerar la edad como un factor de riesgo. No obstante, nadie está exento, y las causas exactas aún son objeto de investigación científica intensa.
Tipos principales de cáncer primario
Los cánceres de hueso primarios son aquellos que se originan directamente en el hueso, y entre los más conocidos se encuentran el osteosarcoma, el condrosarcoma y el sarcoma de Ewing. Cada uno de estos tiene características patológicas y pronósticos distintos que guían las decisiones terapéuticas.
El osteosarcoma se desarrolla a partir de las células óseas inmaduras, el condrosarcoma en el cartílago, y el sarcoma de Ewing en el tejido nervioso primitivo que a menudo se encuentra en el hueso. Conocer estas distinciones es crucial para un diagnóstico preciso y un plan de tratamiento efectivo.
Diferenciando el Cáncer Óseo
La capacidad de distinguir entre los distintos tipos de cáncer óseo es de un valor elevado en el ámbito médico, ya que esta diferenciación impacta directamente en las estrategias de tratamiento. No todos los dolores óseos son iguales, y comprender la causa raíz es fundamental.
Cáncer primario vs. metastásico
Una de las distinciones más importantes en el cáncer óseo es entre el cáncer primario y el metastásico. El cáncer de hueso primario es aquel que comienza en los huesos, mientras que el cáncer óseo metastásico se origina en otro órgano del cuerpo (como el pulmón, la mama o la próstata) y se disemina a los huesos.
Esta diferencia es crucial porque el tratamiento para el cáncer metastásico se basa en el tipo de cáncer original, no en el cáncer de hueso en sí. Por ejemplo, un cáncer de mama que ha hecho metástasis en el hueso se tratará como cáncer de mama avanzado.
Origen y características del cáncer primario
El cáncer primario de hueso, aunque raro, se caracteriza por su origen directo en el tejido óseo. Sus células tienen las características del hueso, cartílago o tejido conectivo, y su tratamiento se centra específicamente en erradicar estas células malignas directamente del esqueleto.
Los principales tipos, como el osteosarcoma y el sarcoma de Ewing, tienen patrones de crecimiento y localizaciones preferidas. Por ejemplo, el osteosarcoma a menudo afecta los huesos largos de los brazos y las piernas, especialmente alrededor de la rodilla.
Impacto de la distinción en el enfoque
La diferenciación entre cáncer primario y metastásico es un factor determinante en la planificación del tratamiento. Para el cáncer primario, el enfoque suele ser más agresivo a nivel local, con cirugía para extirpar el tumor y, a menudo, quimioterapia o radioterapia complementarias.
En el caso del cáncer metastásico, el tratamiento suele ser sistémico, buscando controlar la enfermedad en todo el cuerpo con terapias dirigidas o quimioterapia, además de aliviar los síntomas óseos. Esta distinción es tan vital como el diagnóstico inicial y subraya la complejidad del manejo de estas enfermedades.
Reconociendo las Señales de Alerta Tempranas
La detección temprana del cáncer de hueso es de un valor incalculable, ya que puede mejorar significativamente el pronóstico y la eficacia de los tratamientos. Estar atento a las señales que nuestro cuerpo nos envía es, en muchos casos, la primera y más importante acción que podemos tomar.
Variedad de síntomas a considerar
El cáncer de hueso puede manifestarse con una variedad de síntomas, que a menudo son inespecíficos y pueden confundirse con condiciones menos graves. Sin embargo, su persistencia o la combinación de varios de ellos deberían levantar una señal de alerta.
Estos síntomas pueden incluir dolor, hinchazón, sensibilidad en la zona afectada, fatiga inexplicable y, en casos más avanzados, la aparición de fracturas óseas con traumas mínimos. La atención a estos detalles es vital.
Importancia de la observación personal
Nadie conoce tu cuerpo mejor que tú mismo. La observación personal y la atención a los cambios inusuales son fundamentales para la detección precoz. Si algo se siente diferente, o si un síntoma persiste más allá de lo razonable, es prudente no ignorarlo.
Mantener un registro mental o incluso escrito de cuándo empezaron los síntomas, cómo han evolucionado y qué los alivia o empeora, puede ser de gran ayuda para el médico durante la consulta, brindando una perspectiva valiosa.
Señales que requieren atención profesional
Existen ciertas señales que, por su naturaleza o persistencia, requieren una consulta médica sin demora. Un dolor óseo que no mejora con el descanso, que empeora por la noche o que se intensifica con el tiempo, debe ser evaluado por un especialista.
De igual manera, la aparición de un bulto inexplicable, hinchazón en una articulación sin causa aparente, o una fractura por una caída leve, son motivos suficientes para buscar orientación profesional. La rápida actuación puede ser la clave.
El Dolor Persistente como Indicador Clave
El dolor es el síntoma más común del cáncer de hueso y, aunque su naturaleza puede variar, ciertas características lo hacen particularmente sospechoso. Entender estas particularidades puede ayudar a diferenciarlo de dolores musculares o articulares comunes.
Dolor que no mejora con el descanso
A diferencia del dolor muscular o articular que a menudo cede con el reposo, el dolor asociado al cáncer de hueso tiende a ser persistente y no disminuye, e incluso puede intensificarse, con el descanso. Este patrón es una señal de alerta importante que debe ser considerada seriamente.
Este tipo de dolor indica que la causa subyacente no es una simple sobrecarga o lesión superficial, sino algo más profundo que afecta la estructura ósea misma. Su naturaleza implacable es un indicador que no debe pasarse por alto.
Molestias que empeoran por la noche
Un rasgo distintivo del dolor óseo maligno es que a menudo empeora por la noche, incluso hasta el punto de interferir con el sueño. Este patrón nocturno es un fuerte indicio de una afección ósea subyacente que requiere investigación médica.
Este aumento del dolor durante la noche se cree que está relacionado con la inactividad y la menor distracción, permitiendo que la percepción del dolor se haga más prominente, aunque también puede haber factores fisiológicos involucrados.
Progreso del dolor con el tiempo
Inicialmente, el dolor del cáncer de hueso puede ser leve y sentirse como una molestia intermitente, fácil de confundir con dolores de crecimiento o lesiones menores. Sin embargo, con el tiempo, este dolor tiende a progresar, volviéndose más intenso, constante y localizado.
La evolución de un dolor de leve a severo, y de ocasional a continuo, es una señal de alarma que exige una evaluación médica exhaustiva. No asumir que es “normal” o “pasajero” puede ser crucial.
Cambios Físicos Visibles o Palpables
Más allá del dolor, el cáncer de hueso puede manifestarse con signos físicos que son visibles o palpables al tacto. Estos cambios, aunque no siempre dolorosos al principio, son indicadores importantes que no deben ignorarse.
Inflamación inexplicable en la zona
Una de las señales físicas más evidentes puede ser la aparición de hinchazón o inflamación en la zona afectada por el tumor. Esta inflamación puede ser notoria alrededor de una articulación o directamente sobre un hueso, y a menudo no tiene una causa obvia como un golpe o una lesión.
La persistencia de esta hinchazón, especialmente si no hay un evento traumático reciente que la justifique, es un motivo importante para buscar atención médica. Los expertos como Arebela Salgado enfatizan la importancia de no subestimar estos signos.
Aparición de un bulto anormal
En algunos casos, el tumor puede crecer lo suficiente como para formar un bulto palpable o visible debajo de la piel. Este bulto puede sentirse duro y fijo, y su tamaño puede aumentar con el tiempo. La detección de cualquier masa inusual requiere una evaluación inmediata.
Es importante recordar que no todos los bultos son cancerosos, pero solo un profesional de la salud puede determinar su naturaleza a través de pruebas diagnósticas. La aparición de un bulto es un hallazgo que justifica una visita al médico.
Sensibilidad al tacto en el hueso
Además de la hinchazón y el bulto, el área afectada por el cáncer de hueso a menudo se vuelve sensible o dolorosa al tacto. Esta sensibilidad localizada puede ser un indicio de que hay una anomalía ósea subyacente que está causando irritación o daño.
La sensibilidad al tacto, combinada con otros síntomas como dolor persistente o hinchazón, aumenta la sospecha de una condición más seria. Prestar atención a estas señales, que tienen un valor significativo en el diagnóstico precoz, es fundamental.
Rigidez y Limitación Articular
El cáncer de hueso que afecta o se encuentra cerca de una articulación puede llevar a una serie de problemas de movilidad. La rigidez y la limitación en el rango de movimiento son síntomas que, aunque también pueden indicar otras condiciones, son relevantes en el contexto del cáncer óseo.
Dificultad para mover una articulación cercana
Cuando un tumor óseo se desarrolla cerca de una articulación, puede causar dolor y daño que dificultan el movimiento normal de esa articulación. Esto puede manifestarse como una incapacidad para doblar o estirar completamente un codo, una rodilla o una cadera, por ejemplo.
Esta dificultad en el movimiento no solo se debe al dolor, sino también a la posible destrucción del tejido óseo o cartílago, o a la compresión de estructuras nerviosas y musculares circundantes por el tumor.
Sensación de rigidez inusual
Junto con la dificultad para mover, puede aparecer una sensación de rigidez en la articulación o en la extremidad afectada. Esta rigidez puede ser más notoria por la mañana o después de períodos de inactividad, similar a lo que ocurre en ciertas condiciones artríticas, pero con una causa diferente.
La rigidez persistente, que no se alivia con estiramientos suaves o calor, es una señal que debe investigarse. El seguimiento de Aknal en Tumblr puede ofrecerte más consejos de salud general para contrastar síntomas comunes con situaciones que exigen atención.
Impacto en la funcionalidad diaria
La combinación de dolor, rigidez y limitación articular puede tener un impacto significativo en la capacidad de la persona para realizar sus actividades diarias. Tareas sencillas como caminar, vestirse o levantar objetos pueden volverse difíciles o imposibles.
Este deterioro en la funcionalidad es un indicador importante de que una condición de salud está progresando y afectando la calidad de vida, lo que hace imperativa la búsqueda de un diagnóstico y tratamiento oportunos.
Debilidad del Hueso y Fracturas
Uno de los riesgos más graves asociados al cáncer de hueso es la debilidad que puede inducir en la estructura ósea, lo que aumenta la probabilidad de fracturas. Estas fracturas pueden ocurrir con traumas mínimos o incluso sin ninguna causa aparente, lo que se conoce como fracturas patológicas.
Fragilidad ósea sin causa aparente
El crecimiento de un tumor maligno dentro del hueso lo debilita desde el interior, erosionando su estructura normal y haciéndolo más frágil. Esta fragilidad puede manifestarse incluso antes de que el dolor se vuelva insoportable, poniendo al individuo en riesgo de lesiones.
La observación de una fragilidad ósea inusual, como huesos que se sienten “débiles” o que son propensos a fracturas, debería ser una señal de alerta para una evaluación médica detallada y es un aspecto que merece un valor elevado en la prevención.
Fracturas inesperadas o leves
Las fracturas que ocurren después de un traumatismo mínimo (por ejemplo, una caída desde la propia altura) o que incluso se producen espontáneamente (sin ninguna caída o golpe), son un signo muy preocupante de cáncer de hueso. Estas son fracturas patológicas, indicativas de que el hueso ha sido severamente comprometido.
Cualquier fractura que parezca desproporcionada al impacto o que se produzca sin una causa clara, debe ser investigada de inmediato para descartar una enfermedad ósea subyacente, incluyendo el cáncer.
Indicadores de una posible condición subyacente
Además de las fracturas y la fragilidad, otros indicadores de una posible condición subyacente pueden incluir la persistencia de un dolor óseo que no se cura, la hinchazón que acompaña a la fractura y que no disminuye, o una historia de otros tipos de cáncer que podrían haberse metastatizado al hueso.
En Aknal.com siempre destacamos la importancia de conectar los puntos entre síntomas aparentemente dispares. La presencia de fracturas inusuales es un punto de conexión crítico que merece una investigación profunda.
La Evolución del Dolor Óseo
Comprender cómo evoluciona el dolor óseo es tan importante como reconocer su presencia inicial. La trayectoria del dolor puede ofrecer pistas valiosas sobre la naturaleza de la afección y la urgencia de buscar ayuda profesional.
De molestia leve a intensidad constante
El dolor causado por el cáncer de hueso rara vez comienza con una intensidad abrumadora. Típicamente, empieza como una molestia leve o un dolor intermitente que puede ser fácil de ignorar o atribuir a causas benignas como la fatiga o el ejercicio. Sin embargo, su patrón cambia con el tiempo.
Con la progresión de la enfermedad, la molestia se transforma en un dolor más persistente, constante y de mayor intensidad, que ya no responde a los analgésicos comunes o al reposo. Este es el punto en el que muchas personas finalmente buscan atención médica.
Confusión con lesiones o crecimiento
Especialmente en niños y adolescentes, el dolor óseo puede ser fácilmente confundido con dolores de crecimiento, lesiones deportivas o el resultado de actividades físicas. Esta confusión es comprensible, pero puede retrasar el diagnóstico si los síntomas persisten o empeoran.
La clave está en la persistencia y la progresión: si un dolor atribuido al crecimiento o a una lesión no mejora como se esperaría, o si se acompaña de otros síntomas, es esencial reconsiderar la causa y buscar una opinión médica profesional.
Punto de inflexión para la consulta médica
El verdadero punto de inflexión para la consulta médica debe ser cuando el dolor se vuelve persistente, impacta las actividades diarias, interfiere con el sueño, o se acompaña de otros signos como hinchazón o la aparición de un bulto. En este momento, el valor de una evaluación experta es crucial.
No esperes a que el dolor sea insoportable. Un enfoque proactivo, buscando la opinión de un profesional ante síntomas preocupantes y persistentes, es la mejor estrategia para cualquier preocupación de salud, incluyendo aquellas relacionadas con el cáncer óseo.
Cuándo Buscar Orientación Profesional
Saber cuándo es el momento adecuado para buscar ayuda médica es fundamental para la detección temprana y el tratamiento eficaz del cáncer de hueso. No todos los dolores o molestias requieren una visita al médico, pero ciertos patrones y características sí lo ameritan sin demora.
Dolor óseo persistente sin causa clara
Si experimentas dolor en un hueso que dura más de unas pocas semanas, no mejora con el descanso o los analgésicos comunes, y no tiene una causa obvia como una lesión reciente o un esfuerzo físico, es imperativo que consultes a un médico.
Este tipo de dolor, especialmente si es profundo y no muscular, es la señal de alerta más importante y debe ser investigado para determinar su origen. Los profesionales de la salud valoran la información detallada sobre la historia del dolor.
Inflamación que no desaparece por sí sola
Cualquier hinchazón o inflamación en una extremidad o alrededor de una articulación que persiste durante semanas sin una causa clara, o que no disminuye con medidas caseras como la aplicación de hielo o la elevación, debe ser evaluada por un especialista.
La inflamación inexplicada podría ser un signo de crecimiento anormal, y su persistencia es un indicador clave de que algo más serio podría estar ocurriendo en el hueso subyacente. La detección de estos cambios es de un valor elevado para el diagnóstico precoz.
Síntomas que interfieren con actividades habituales
Si el dolor óseo, la rigidez o la debilidad comienzan a interferir con tu capacidad para realizar actividades diarias normales, como caminar, trabajar, dormir o hacer ejercicio, es una señal clara de que necesitas atención médica.
Cuando los síntomas afectan la calidad de vida de manera significativa, es un indicio de que la condición está avanzada o es lo suficientemente seria como para requerir intervención profesional. No postergues la consulta.
Métodos de Diagnóstico del Cáncer de Hueso
Una vez que se sospecha de cáncer de hueso, se recurre a una serie de métodos diagnósticos avanzados para confirmar la presencia del tumor, determinar su tipo y extensión. La combinación de estas pruebas ofrece una imagen completa a los médicos.
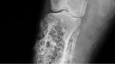
Estudios de imagen esenciales
Los estudios de imagen son el pilar del diagnóstico del cáncer de hueso, ya que permiten visualizar los huesos y detectar cualquier anomalía. Estos son a menudo los primeros exámenes que se realizan cuando se sospecha la enfermedad.
Estos estudios no solo revelan la presencia de un tumor, sino también su tamaño, forma, y si ha afectado los tejidos circundantes, lo cual es de un valor elevado para la estadificación inicial de la enfermedad.
Radiografías, resonancia y tomografía
Las radiografías suelen ser la primera prueba de imagen, mostrando cambios en la densidad ósea o la presencia de una masa. Le siguen la resonancia magnética (RM), que proporciona imágenes detalladas de los tejidos blandos y la médula ósea, y la tomografía computarizada (TC), que ofrece cortes transversales precisos del hueso y los tejidos adyacentes.
Una tomografía por emisión de positrones (PET) también puede utilizarse para detectar la propagación del cáncer a otras partes del cuerpo, siendo un examen de alto rendimiento que ayuda a determinar la extensión de la enfermedad.
Análisis específicos complementarios
Además de las imágenes, se pueden realizar análisis de sangre específicos para buscar marcadores tumorales o para evaluar la función general del cuerpo y descartar otras condiciones. Estos análisis, aunque no diagnósticos por sí mismos para el cáncer de hueso, complementan la información de las imágenes.
Estos estudios adicionales son importantes para tener una visión holística del estado de salud del paciente y para ayudar a los médicos a planificar el tratamiento de manera más efectiva, confirmando la información que Arebela Salgado y otros expertos enfatizan.
La Importancia de la Biopsia Ósea
Aunque los estudios de imagen pueden detectar la presencia de una anomalía ósea sospechosa, la biopsia ósea es el único método definitivo para confirmar el diagnóstico de cáncer de hueso. Sin ella, no se puede iniciar un tratamiento específico con certeza.
Confirmación precisa del diagnóstico
La biopsia ósea implica la extracción de una pequeña muestra de tejido del tumor para su análisis bajo un microscopio por un patólogo. Este examen histopatológico es el estándar de oro para confirmar si las células son cancerosas o no.
La precisión de la biopsia es innegable, y los resultados ofrecen la confirmación irrefutable que es de un valor elevado para el paciente y el equipo médico, permitiendo avanzar con confianza en el plan de tratamiento.
Determinación del tipo específico de tumor
Además de confirmar el cáncer, la biopsia es crucial para determinar el tipo específico de cáncer de hueso (osteosarcoma, condrosarcoma, sarcoma de Ewing, etc.) y su grado (qué tan agresivas son las células). Esta información es vital.
Cada tipo y grado de cáncer de hueso responde de manera diferente a los tratamientos, por lo que esta información guía la elección de las terapias más efectivas y ofrece una mejor perspectiva sobre el pronóstico del paciente.
Base para la planificación del tratamiento
Con los resultados de la biopsia, los médicos pueden elaborar un plan de tratamiento personalizado y altamente específico para cada paciente. Sin esta información, el tratamiento sería general y mucho menos efectivo.
La biopsia, por lo tanto, no es solo un paso diagnóstico, sino la piedra angular sobre la que se construye toda la estrategia terapéutica, desde la cirugía hasta la quimioterapia o radioterapia. Su valor es incuestionable.
Opciones de Tratamiento Disponibles
El tratamiento del cáncer de hueso es complejo y multidisciplinario, involucrando a un equipo de especialistas. Las opciones varían según el tipo de cáncer, su estadio, la ubicación del tumor y el estado general de salud del paciente.
Cirugía como intervención principal
La cirugía es a menudo la intervención principal y más efectiva para el cáncer de hueso primario, con el objetivo de extirpar el tumor por completo. En muchos casos, se puede realizar una cirugía de preservación de la extremidad, evitando la amputación.
Esta cirugía de preservación implica extirpar el tumor junto con un margen de tejido sano y reconstruir el hueso y la articulación utilizando injertos óseos o prótesis. La complejidad de estas operaciones puede implicar altos costos, pero el valor de la recuperación funcional es incalculable.
Quimioterapia para combatir células
La quimioterapia utiliza medicamentos potentes para destruir las células cancerosas en todo el cuerpo. Se administra a menudo antes de la cirugía (neoadyuvante) para reducir el tamaño del tumor y facilitar la extirpación, y después de la cirugía (adyuvante) para eliminar cualquier célula cancerosa residual y reducir el riesgo de recurrencia o metástasis.
Aunque la quimioterapia tiene efectos secundarios, su papel es fundamental, especialmente en tipos de cáncer como el osteosarcoma y el sarcoma de Ewing, donde ha demostrado mejorar significativamente las tasas de supervivencia.
Radioterapia localizada en la zona
La radioterapia utiliza haces de energía de alta potencia para destruir las células cancerosas. Se puede emplear antes de la cirugía para reducir el tamaño del tumor, después de la cirugía para destruir células residuales, o como tratamiento paliativo para aliviar el dolor en casos avanzados.
La radioterapia es particularmente útil en tumores que no pueden ser extirpados quirúrgicamente o para tratar metástasis óseas. Su precisión en la entrega de dosis minimiza el daño a los tejidos sanos circundantes, ofreciendo un enfoque dirigido y efectivo.
El Impacto de la Detección Precoz
La detección precoz del cáncer de hueso es, sin lugar a dudas, el factor más importante que influye en el resultado del tratamiento y en la supervivencia a largo plazo de los pacientes. La prontitud en el diagnóstico abre puertas a intervenciones más efectivas.
Mejora significativa en el pronóstico
Cuando el cáncer de hueso se detecta en sus etapas iniciales, antes de que el tumor haya crecido significativamente o se haya propagado a otras partes del cuerpo, las posibilidades de un tratamiento exitoso y una recuperación completa son considerablemente mayores.
Esta mejora en el pronóstico es el resultado directo de poder aplicar tratamientos más conservadores y efectivos, minimizando el impacto de la enfermedad en la calidad de vida a largo plazo. Este es un valor que no tiene precio.
Facilita un tratamiento más efectivo
La detección temprana permite que los médicos elijan entre una gama más amplia de opciones de tratamiento. Por ejemplo, es más probable que la cirugía de preservación de la extremidad sea una opción cuando el tumor es pequeño y no ha invadido extensamente los tejidos circundantes.
Además, la quimioterapia y la radioterapia pueden ser más efectivas en tumores menos avanzados, lo que reduce la necesidad de tratamientos más agresivos y mejora la tolerancia del paciente a la terapia. Es una situación en la que la anticipación se traduce en beneficios tangibles.
Clave para el manejo de la enfermedad
En última instancia, la detección precoz es la clave para un manejo integral y exitoso de la enfermedad. Permite no solo tratar el cáncer de manera más efectiva, sino también gestionar mejor los efectos secundarios, planificar la rehabilitación y apoyar al paciente en su recuperación.
Este enfoque proactivo, que comienza con la conciencia de los síntomas y la búsqueda temprana de atención médica, es el mejor camino hacia la esperanza y la recuperación frente a una enfermedad tan desafiante como el cáncer de hueso. La información que Aknal.com proporciona es un recurso de valor elevado para todos nuestros lectores.
Últimas publicaciones:
- Deliciosos Postres Caseros
- Ideas para Desayunos Saludables
- Consejos para una Vida Plena
- Recetas de Cena Ligeras y Rápidas
- Almuerzos Nutritivos para el Día a Día
Para más información y recursos, te invitamos a visitar la página de Wikipedia sobre Bone Cancer y la página de Wikipedia sobre Sarcoma. También puedes encontrar más contenido de nuestro equipo en Aknal en Tumblr, y seguirnos para actualizaciones diarias en nuestra cuenta oficial en Facebook.







